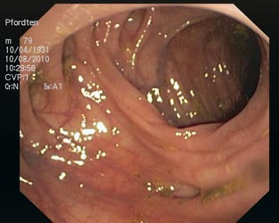
Im Darm können sich Ausbuchtungen der Darmwand (Divertikel) nach außen bilden, die in der Darmspiegelung als kleine Löcher zu erkennen sind (Bild Divertikulose). In seltenen Fällen können sich die Divertikel entzünden, dann spricht man von einer Dickdarmdivertikulitis. Die Diagnose wird durch die Symptome (Schmerzen), durch eine Bauchuntersuchung, eine Ultraschalluntersuchung (siehe Bild) und durch eine Laborunteruschung gestellt.

Die Behandlung ist konservativ und besteht in der Gabe von einem oder zwei Antibiotika für ca 10 Tage. Engmaschige Kontrollen sind notwendig um gegebenenfalls auftretende Komplikationen (z.B. Peroration, Bluutng und Abszess) rechtzeitig zu erkennen. Komplikationen werden in der Regel chirurgisch (Operation) versorgt.
